Featured
- Get link
- X
- Other Apps
Chronic Microvascular Ischemic Changes In Brain
Chronic Microvascular Ischemic Changes In Brain. When i accessed my test. Microvascular ischemic disease is a term that’s used to describe changes to the small blood vessels in the brain.

Microvascular ischemic disease is a term that’s used to describe changes to the small blood vessels in the brain. Brain stem ischemia is due to blockage of blood vessels. * old lacunar infarcts in the bilateral corona radiata and centrum semiovale.
Microvascular Ischemic Disease Is A Brain Condition That Commonly Affects Older People.
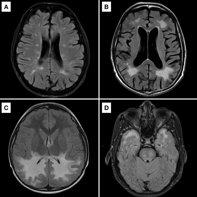
Brain stem ischemia is due to blockage of blood vessels. Microvascular ischemic disease is often detected on an mri of the brain. In this mri of the brain there are multiple white spots that appear very brightly in the brain tissue.
Vascular Surgery 35 Years Experience.
Balance issues and frequent falls. This appears as small white dots on. Chronic small vessel disease or chronic microvascular ischemic changes is a very common finding on head ct as we age.
Chronic Microvascular Ischemic Changes In The Brain Are Often Picked Up Incidentally On A Scan Of The Brain, Most Typically An Mri.
It shows up as tiny blood vessels in the brain that are blocked. Traumatic brain injury (tbi) is acquired from an external force, which can inflict devastating effects to the brain vasculature and neighboring neuronal cells. While there are changes to the brain parenchyma in everyone with aging.
It Is Chronic Microvascular Ischemic Changes In The Brain Are Often Picked Up Incidentally On A Scan Of The.
Untreated, it can lead to dementia, stroke and difficulty walking. Mri of the brain with ischemic changes. Modifications to these blood arteries can result.
In The Context Of The Brain, Microvascular Ischemia Disease Is A Term That Refers To Alterations That Occur In The Tiny Blood Vessels.
Some radiologists refer to this as age related white. Cerebral small vessel disease (alternatively subcortical small vessel disease, chronic small vessel disease , or cerebral microangiopathy ) is an umbrella term for lesions in. Dizziness/vertigo and imbalance are the most common symptoms of vertebrobasilar ischemia.
Comments
Post a Comment